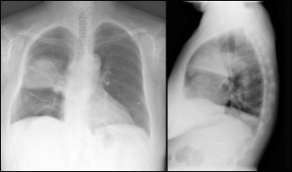
L'orina per a esbrinar la causa d'una pneumònia
La pneumònia continua essent la primera causa de mort dins de les malalties de causa infecciosa. Per tal d'evitar els tractaments antibiòtics d’ampli espectre, i la conseqüent aparició de resistències, és important diagnosticar-ne el microorganisme responsable. El més...








