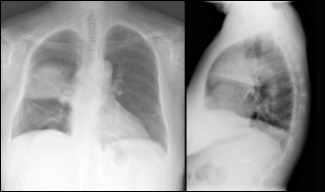
La orina para averiguar la causa de una neumonía
La neumonía sigue siendo la primera causa de muerte dentro de las enfermedades de causa infecciosa. Para evitar los tratamientos antibióticos de amplio espectro, y la consecuente aparición de resistencias, es importante diagnosticar el microorganismo responsable. El más...








